El Bruxisme
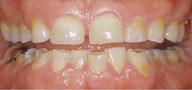
El bruxisme és l’hàbit incontrolat d’oprimir o rascar les dents sense propòsits funcionals que provoca desgast a les dents. Normalment és nocturn, tot i que molts pacients també apreten les dents durant el dia sense ser-ne conscients. Malhauradament, també es poden donar casos de bruxisme infantil.
El desencadenant principal és l’estrès, en efecte el Bruxisme está de moda, el nostre ritme de vida així ho exigeix… tot i que també es contemplen altres factors com la malposició de les dents, la dieta, la postura o la incapacitat per a relaxar-se.
L’origen i la regulació del bruxisme és de tipus central, és a dir, és una alteració del Sistema Nerviós Central i no depèn d’alteracions odontològiques ni articulars, per això el seu tractament ha de ser global i multidisciplinar. Per una banda debem abordar les causes qu’el pronvoquen (estrès, trastorns d’ansietat, alteracions del sòn…), mitjançant eines de gestió de l’estrès (exercici, mindfulness, ioga,…) o teràpia psicològica cognitiu-conductual. Per una altra banda, la nostra part, debem minimitzar les conseqüències a nivell muscular, articular i dentari.

Un bruxisme avançat pot comportar problemes d’insomni, mal de cap i d’orella, dolor als muscles de la cara (sobretot al llevar-se pel matí), dolor a l’articulació o sensibilitat als aliments calents o freds, entre altres.
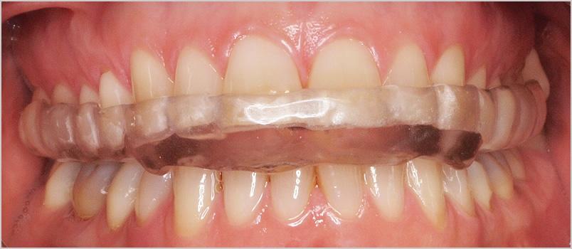
El tractament del bruxisme consisteix en la fabricació individualitzada d’una fèrula miorelaxant. Aquesta ajuda a relaxar l’articulació temporomandibular, alhora que impedeix l’avançament dels desgasts.

Tot i això, si el desgast de les dents és avançat pot ser que es requereixi l’ús de pastes i gels desensibilitzants, tractaments de nervi (endodòncies) per evitar la sensibilitat o, fins i tot, una rehabilitació mitjançant la col·locació de corones dentals per tal de recuperar l’estètica i la funcionalitat de les dents.
Com detectar si apreta les dents?
Els signes més destacats són la disminució de la longitud de les dents, l’aparició de desgastos a nivell cervical (entre la dent i la geniva), el dolor de l’articulació i les recessions gingivals (la geniva recula i exposa l’arrel de la dent).
Tot i que la majoria de vegades el dentista serà el primer en adonar-se’n, si creu que apreta o rasca les dents, acudeixi quan abans millor a la seva clínica dental de confiança.
Dra. Alba Ribas i Serrano
COEC 7510














